A ALAMBRA
ESTATUTO
DIREÇÃO E
CONSELHOS
NOTÍCIAS
EVENTOS
FOTOS
PARCERIAS
DEPOIMENTOS
ESCLARECIMENTOS
E APOIO A
PORTADORAS
A LAM
INFORMAÇÕES GERAIS
E INFOGRÁFICO
SOBRE DIAGNÓSTICO
E TRATAMENTO
PERGUNTAS
FREQUENTES
GLOSSÁRIO DA LAM
RELATÓRIO DE
RECOMENDAÇÃO DO
USO DO SIROLIMO EM
LINFANGIOLEIO-
MIOMATOSE
- CONITEC
RECOMENDAÇÕES DA
SOCIEDADE BRASILEIRA
DE PNEUMOLOGIA E
TISIOLOGIA PARA A
ABORDAGEM DA
LINFANGIOLEIO-
MIOMATOSE
PROTOCOLO PARA
ABORDAGEM DA
LINFANGIOLEI-
TOMIOMATOSE
(LAM)
BULA DO
RAPAMUNE/SIROLIMO
PREVALÊNCIA DA LAM
LOCAIS E
PNEUMOLOGISTAS
INDICADOS PARA O
TRATAMENTO DA LAM
TELEINTERCONSULTA
MÉDICA SOBRE
A LAM PARA
PNEUMOLOGISTAS
LAM E COVID-19
IMAGENS
VÍDEOS
ARTIGOS
ENTREVISTAS
SITES
DIREITOS
TRATAMENTO
FORA DO
DOMICÍLIO
DIREITOS E
PROJETOS
DE LEI
REQUISIÇÃO DE
SIROLIMO
A CID DA LAM
SOBRE A CIF
ATESTADOS MÉDICOS
REDUÇÃO DE CARGA
HORÁRIA E LICENÇA
PARA TRATAMENTO
DE SAÚDE
APOSENTADORIA,
FGTS, IR e BPC
ADICIONAL DE 25%
NA APOSENTADORIA
PARA CUIDADOR(A)
ISENÇÃO DE IPI
PARA AQUISIÇÃO
DE CARROS
CASOS DE
PORTADORES
DE LAM QUE
CONSEGUIRAM
BENEFÍCIOS
USO DE O2 A
BORDO DE
AERONAVES
IMPOSTO DE
IMPORTAÇÃO PARA
AQUISIÇÃO DE
CONCENTRADOR DE O²
CARTEIRA DE
EMERGÊNCIA
IMAGENS
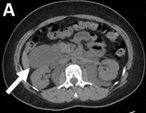
Angiomiolipoma renal à direita
Angiomiolipoma renal bilateral
Angiomiolipomas renais
Derrame pleural leitoso (quilotórax)
Detalhe do pulmão explantado com cistos difusos
Explante de pulmão com cistos difusos
Lesões em paciente com esclerose tuberosa
Pneumotórax à esquerda
Pneumotórax à esquerda
Pulmão com múltiplos cistos
Quilotórax à esquerda
Tomografia de tórax cistos difusos pelo pulmao
Tumor abdominal (linfangioleiomioma)
Tumor na pele (fibroma) próxima à unha
CADASTRAMENTO
Saiba mais
DOAÇÕES E CONTRIBUIÇÕES
Saiba mais
CONTATO
Saiba mais